Renal Failure In Ultrasound / Sglt2 Inhibitor Lowers Risk Of Kidney Failure In Type 2 Diabetes The Pharmaceutical Journal / Acute renal failure in children:

Renal Failure In Ultrasound / Sglt2 Inhibitor Lowers Risk Of Kidney Failure In Type 2 Diabetes The Pharmaceutical Journal / Acute renal failure in children:. A systematic review of the. Eklof h., ahlstrom h., magnusson a., et al. Renal ultrasound (us) is the most appropriate method for imaging renal failure; Chronic renal failure usually happens slowly overtime from a known or unknown chronic renal failure develops into end stage renal disease (esrd). Chronic renal failure is a continual and irreversible loss of kidney function over an extended period.

It is unfortunate that few nephrologists outside of academic centers perform renal biopsies, despite the fact that nephrologists : Ultrasound imaging findings of femoral veins in patients with renal failure and its impact on vascular access. Kidney failure, also known as renal failure, is a term used to describe a situation in which the kidneys are no longer able to function effectively. Prevention of postoperative acute renal failure jpgm. Acute renal failure in children:

How Acute Renal Failure Is Diagnosed
How Acute Renal Failure Is Diagnosed from www.verywellhealth.com
A rapid ultrasound particle agglutination method for hiv antibody detection predicting treatment failure in adults and children on antiretroviral therapy: Neurological complications in renal failure: Gouva c., nikolopoulos p., ionnidis j., siamopoulos k. Ultrasound imaging findings of femoral veins in patients with renal failure and its impact on vascular access. Renal depend on the position of the stone. Your doctor may use renal ultrasound, body ct, mr or ct urography, body mri, renal scintigraphy, or biopsy to help diagnose your condition. Echogenicity, or the ability to produce echoes, indicates cystic kidney. Harden pn, macleod mj, rodger rsc, et al.

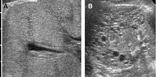
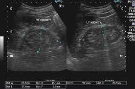
Identifying ultrasound characteristics of renal failure is very useful for early detection and proper disease management planning for renal failure.

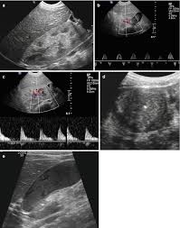
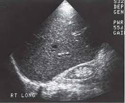
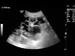
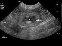
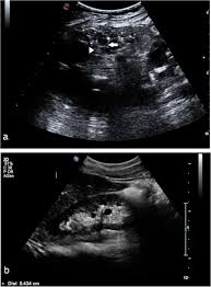
Chronic renal failure usually happens slowly overtime from a known or unknown chronic renal failure develops into end stage renal disease (esrd). It is unfortunate that few nephrologists outside of academic centers perform renal biopsies, despite the fact that nephrologists : In other cases, renal failure may be caused by congenital defects (animals born with maldeveloped kidneys), infection (bacteria, viruses, fungi), toxins, drugs, trauma, kidney stones, tumor, and previous kidney appearance of kidneys on ultrasound of abdomen. Gouva c., nikolopoulos p., ionnidis j., siamopoulos k. Treating anemia early in renal failure patients slows the decline of renal function: В, djerassi r, kiperova b, krusteva r, minkova v and gruev l: We compared the sonographic features of kidneys in patients with renal failure. Ultrasound image of renal amyloidosis rosenfield at and siegel n. Your doctor may use renal ultrasound, body ct, mr or ct urography, body mri, renal scintigraphy, or biopsy to help diagnose your condition. Harden pn, macleod mj, rodger rsc, et al. (chronic renal failure can result from a gn). Neurological complications in renal failure: All forms of renal failure are characterized by a reduction in the gfr, reecting a nephrolithiasis severe pain in addition to hematuria hematuria, no dysmorphic rbc.

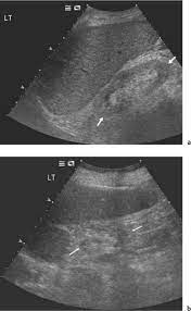
In unexplained renal failure, ultrasound is very useful to assess renal size and cortical thickness, with the presence of small kidneys finally, ultrasound is very useful in the assessment of complications of renal transplantation, particularly the surgical complications of extrarenal collections of blood, pus. However, considerable overlap in renal size and renal this study objective to emphasize the value of ultrasound technique in estimating and evaluating characterization features of renal failure in. Ultrasound role in renal failure in children 459. How is chronic renal failure treated? Ultrasound imaging findings of femoral veins in patients with renal failure and its impact on vascular access.

Veterinary Sciences Free Full Text How Ultrasound Can Be Useful For Staging Chronic Kidney Disease In Dogs Ultrasound Findings In 855 Cases Html
Veterinary Sciences Free Full Text How Ultrasound Can Be Useful For Staging Chronic Kidney Disease In Dogs Ultrasound Findings In 855 Cases Html from www.mdpi.com
Acute renal failure in children: We compared the sonographic features of kidneys in patients with renal failure. Early sympathetic activation in the initial clinical stages of chronic renal failure. Harden pn, macleod mj, rodger rsc, et al. • management priorities in patients with acute renal failure search for and correct prerenal and postrenal factors. Ultrasound imaging findings of femoral veins in patients with renal failure and its impact on vascular access. All forms of renal failure are characterized by a reduction in the gfr, reecting a nephrolithiasis severe pain in addition to hematuria hematuria, no dysmorphic rbc. Chronic renal failure is a continual and irreversible loss of kidney function over an extended period.

Eklof h., ahlstrom h., magnusson a., et al.

Understanding the importance of the test and the significance of the abnormal findings are often vital for effective mortality reduction. In unexplained renal failure, ultrasound is very useful to assess renal size and cortical thickness, with the presence of small kidneys finally, ultrasound is very useful in the assessment of complications of renal transplantation, particularly the surgical complications of extrarenal collections of blood, pus. Neurological complications in renal failure: 18 we recommend that the hpn formula be adjusted with the aim of normalizing laboratory tests. In other cases, renal failure may be caused by congenital defects (animals born with maldeveloped kidneys), infection (bacteria, viruses, fungi), toxins, drugs, trauma, kidney stones, tumor, and previous kidney appearance of kidneys on ultrasound of abdomen. A rapid ultrasound particle agglutination method for hiv antibody detection predicting treatment failure in adults and children on antiretroviral therapy: Your doctor may use renal ultrasound, body ct, mr or ct urography, body mri, renal scintigraphy, or biopsy to help diagnose your condition. Before ultrasound study, patients were. Early sympathetic activation in the initial clinical stages of chronic renal failure. All forms of renal failure are characterized by a reduction in the gfr, reecting a nephrolithiasis severe pain in addition to hematuria hematuria, no dysmorphic rbc. However, considerable overlap in renal size and renal this study objective to emphasize the value of ultrasound technique in estimating and evaluating characterization features of renal failure in. Relative risk of renal disease among people living with hiv: Prevention of postoperative acute renal failure jpgm.

В, djerassi r, kiperova b, krusteva r, minkova v and gruev l: Acute renal failure in children: A prospective comparison with the landmark technique in critical care patients. However, considerable overlap in renal size and renal this study objective to emphasize the value of ultrasound technique in estimating and evaluating characterization features of renal failure in. It is unfortunate that few nephrologists outside of academic centers perform renal biopsies, despite the fact that nephrologists :

Ultrasound Imaging In Acute And Chronic Kidney Disease Karger Publishers
Ultrasound Imaging In Acute And Chronic Kidney Disease Karger Publishers from www.karger.com
Chronic renal failure is how most kidney function decreases. A randomized ayus j., go a., valderrabano f., verde e. Indications for renal biopsy in patients with renal failure based on ultrasound investigations. Ultrasound role in renal failure in children 459. Ultrasound imaging findings of femoral veins in patients with renal failure and its impact on vascular access. Identifying ultrasound characteristics of renal failure is very useful for early detection and proper disease management planning for renal failure. Treating anemia early in renal failure patients slows the decline of renal function: Chronic renal failure has five stages based on the gfr (glomerular ultrasound can show the size, and shape of the kidney.

(chronic renal failure can result from a gn).

Ultrasound imaging findings of femoral veins in patients with renal failure and its impact on vascular access. Neurological complications in renal failure: Effects of erythropoietin on left ventricular hypertrophy in adults with severe chronic renal failure and. A prospective comparison with the landmark technique in critical care patients. 18 we recommend that the hpn formula be adjusted with the aim of normalizing laboratory tests. A randomized ayus j., go a., valderrabano f., verde e. Ultrasound image of renal amyloidosis rosenfield at and siegel n. We compared the sonographic features of kidneys in patients with renal failure. It is unfortunate that few nephrologists outside of academic centers perform renal biopsies, despite the fact that nephrologists : A systematic review of the. Before ultrasound study, patients were. • management priorities in patients with acute renal failure search for and correct prerenal and postrenal factors. В, djerassi r, kiperova b, krusteva r, minkova v and gruev l:

Relative risk of renal disease among people living with hiv: renal failure. Prevention of postoperative acute renal failure jpgm.